东昌府区中医院原院长李金刚,主任医师、全国基层名老中医药专家、山东省名中医药专家、山东省劳模、聊城市名中医药专家、聊城市有突出贡献的中青年专家。 擅长治疗胆、肾结石,中风偏瘫、慢性肝病、胃病、焦虑症、顽固性头痛、三叉神经痛等疑难杂症。以中草药治疗为主,配合体外冲击波、针灸、穴位贴敷等方法为辅治疗胆肾结石,现已成功排出胆肾结石20000余例,排石率达到91%,这项技术使广大结石患者免除手术之痛。[了解更多]
五一长假我在岗:锦旗背后是一段暖暖的“正骨故事”
2022-05-14 11:06:54| 发布者: admin| 查看: 15366
| 五一劳动节丨向劳动者致敬!
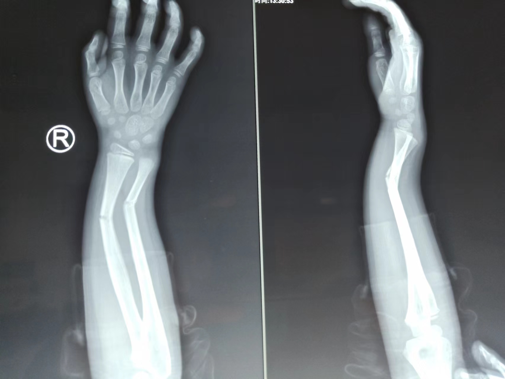
“东昌府区中医院骨伤二科医生的接骨技术太神奇了,简直找不到骨折线了”。2022年4月30日早上,五一小长假第一天,骨伤二科李学锋主任刚到办公室,患者家属许先生将一面写着“医者父母心,仁德值千金”的锦旗送到了医生办公室,以此表达对骨伤二科精湛的医术和暖心服务的感谢。 ![]() 据了解,许先生的儿子今年6岁,在幼儿园玩耍时摔伤右侧前臂,在当地医院建议穿针治疗,许先生恐惧手术,经多方打听,了解到东昌府区中医院骨伤科的治疗理念是能简单的不复杂,能手法整复的不切开手术。来到骨伤二科住院后,医生仔细研判该患儿的受伤机理和X线片,最终采用手法整复,三垫加压,夹板固定。整复完拍摄X线片示骨折端解剖复位。 ![]() 整复前 ![]() 整复后 金杯银杯不如老百姓的口碑,一面锦旗,传递的不仅是患者的感激之情,也是东昌府区中医院骨二科医护人员对病患服务的最好证明。东昌府区中医院骨伤二科将一直秉持“把患者利益放在第一位”的原则,尽职尽责为患者服务,并坚持用专业的技术和人性化的关怀,不断提升患者就医体验感。
|
上一篇:
一面锦旗 一封感谢信 谱写着和谐医患之情
下一篇:
【医护手记】来自患者的信任












